- ホーム
- 審美歯科
審美歯科
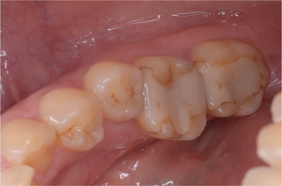
虫歯を治したい
- 担当医
- 平井
- 主訴
- むし歯を治したい
- 期間
- 4.5ヶ月(治療回数:8回)
- 費用
- ¥358,600
(プロビジョナルレストレーション:¥6,600,
クラウンレングスニング:¥55,000,
形成料:¥3,300,
印象採得:¥3,300,
セラミッククラウン:¥132,000,
印象採得:¥4,400,
セラミックインレー:¥154,000)
- 治療内容
- ・形成、プロビジョナルレストレーション
・クラウンレングスニング
・形成、プロビ調整
・精密印象採得
・セラミックインレー、セラミッククラウンセット
- 治療に伴うリスク
- ・想定を超える力が加わった際に割れる恐れがあります。
・咬み合わせのチェック、クリーニングによるメインテナンスを行う必要があります。
虫歯を治したい
詰め物を
綺麗にしたい
詰め物が欠けた
虫歯を治したい
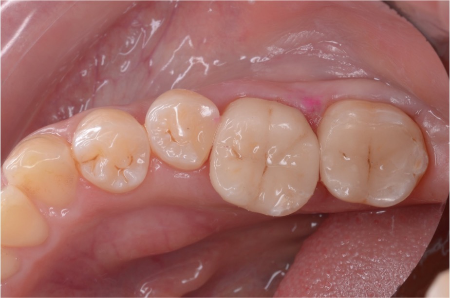
虫歯を治したい
- 担当医
- 平井
- 主訴
- 虫歯を治したい
- 期間
- 3ヶ月(治療回数:6回)
- 費用
- ¥288,200
(印象採得:¥3,300、
セラミックインレー:¥77,000、
プロビジョナルレストレーション:¥6,600、
印象採得:¥3300、
セラミッククラウン:¥132,000、
ダイレクトボンディング:¥66,000)
- 治療内容
- ・除去、プロビジョナルレストレーション
・形成、精密印象採得
・セラミックインレー、
セラミッククラウンセット
・ダイレクトボンディング
- 治療に伴うリスク
- ・想定を超える力が加わった際に割れる恐れがあります。
・咬み合わせのチェック、クリーニングによるメインテナンスを行う必要があります。
虫歯を治したい
- 担当医
- 平井
- 主訴
- むし歯を治したい
- 期間
- 治療回数:1回
- 費用
- ¥22,000
(ダイレクトボンディング1窩洞:
¥22,000×1)
- 治療内容
- ・う蝕除去、ダイレクトボンディング
- 治療に伴うリスク
- ・想定を超える力が加わった際に割れる恐れがあります。
・咬み合わせのチェック、クリーニングによるメインテナンスを行う必要があります。
むし歯を治したい、白い歯で治したい
- 担当医
- 平井
- 主訴
- むし歯を治したい、白い歯で治したい
- 期間
- 治療回数:1回
- 費用
- ¥44,000
(ダイレクトボンディング
2窩洞:¥22,000×2)
- 治療内容
- ・う蝕除去、ダイレクトボンディング
- 治療に伴うリスク
- ・想定を超える力が加わった際に割れる恐れがあります。
・咬み合わせのチェック、クリーニングによるメインテナンスを行う必要があります。
むし歯を治したい、白い歯で治したい
- 担当医
- 平井
- 主訴
- むし歯を治したい、白い歯で治したい
- 期間
- 治療回数:1回
- 費用
- ¥44,000
(ダイレクトボンディング
2窩洞:¥22,000×2)
- 治療内容
- ・う蝕除去、ダイレクトボンディング
- 治療に伴うリスク
- ・想定を超える力が加わった際に割れる恐れがあります。
・咬み合わせのチェック、クリーニングによるメインテナンスを行う必要があります。



















