虫歯を治したい
治療前

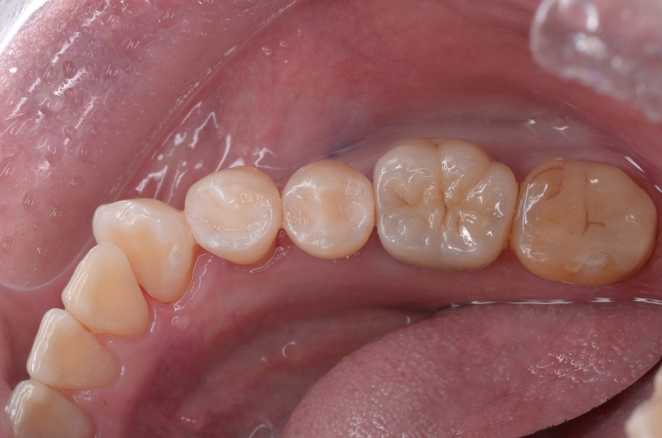
治療後

| 担当医 | 平井 |
|---|---|
| 主訴 | むし歯を治したい |
| 期間 | 治療回数:1回 |
| 費用 | ¥22,000 (ダイレクトボンディング1窩洞: ¥22,000×1) |
| 治療内容 | ・う蝕除去、ダイレクトボンディング |
| 治療に伴うリスク | ・想定を超える力が加わった際に割れる恐れがあります。 ・咬み合わせのチェック、クリーニングによるメインテナンスを行う必要があります。 |



















