むし歯を治したい、
入れ歯で咬めない

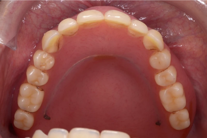
治療前

治療後

担当医 平井
主訴 むし歯を治したい、入れ歯で咬めない
期間 10カ月
治療回数:20回
費用 ¥1,815,000
(印象採得:¥3,300、
セラミッククラウン:¥792,000)
治療内容 ・プロビジョナルレストレーション作成
・隔壁作成、精密再根管治療、ファイバーポストコア
・精密印象採得、クラウン試適、セラミッククラウン装着
・精密印象採得(義歯)、咬合採得、義歯試適、金属床義歯装着
治療に伴うリスク ・想定を超える力が加わった際に割れる恐れがあります。
・咬み合わせのチェック、クリーニングによるメインテナンスを行う必要があります。

関連症例

平日夜19時まで・土曜日も診療

平日は19時まで、土曜日も診療している歯医者です。
お昼休みやお仕事帰りにぜひお立ち寄りください。

診療時間
9:00-13:00
15:00-19:00

【▲】土曜日は9:00~14:00
【休診日】日曜・祝日

本厚木駅から徒歩1分の歯医者

小田急電鉄小田原線「本厚木駅」北口からすぐ。
駅チカの通いやすい歯医者です。

地図

本厚木駅から徒歩1分の本厚木ひらい歯科
〒243-0018
神奈川県厚木市中町2丁目1-18
TRUNK本厚木6F

-小田急電鉄小田原線
「本厚木駅」北口から徒歩1分

ご予約はWEB
またはお電話で

24時間WEB予約

診療時間

 
9:00-13:00
15:00-19:00

日曜日、祝日は休診日です

▲:土曜日は9:00〜14:00